Food Engineering Progress
Korean Society for Food Engineering
Reaserch article

효소 가수분해에 따른 대두 2S 단백질의 항원성 및 알레르기성 변화

성동은1https://orcid.org/0000-0003-0819-6979, 임승용2,*https://orcid.org/0000-0003-0523-7288
Dong-Eun Sung1https://orcid.org/0000-0003-0819-6979, Seung-Yong Lim2,*https://orcid.org/0000-0003-0523-7288
1동양미래대학교 바이오융합공학과
2국립군산대학교 식품생명공학과
1Department of Bio-Convergence Engineering, Dongyang Mirae University, Seoul 08221, Korea
2Department of Food Science and Biotechnology, College of Ocean and Bioscience, Kunsan National University, Gunsan 54150, Korea
*Corresponding author: Seung-Yong Lim, Department of Food Science and Biotechnology, College of Ocean and Bioscience, Kunsan National University, Gunsan 54150, Korea, E-mail: syonglim@kunsan.ac.kr

ⓒ Copyright 2026 Korean Society for Food Engineering. This is an Open-Access article distributed under the terms of the Creative Commons Attribution Non-Commercial License (http://creativecommons.org/licenses/by-nc/4.0/) which permits unrestricted non-commercial use, distribution, and reproduction in any medium, provided the original work is properly cited.

Received: Jan 03, 2026; Revised: Jan 21, 2026; Accepted: Jan 21, 2026

Published Online: Feb 11, 2026

Abatract

This study investigated the effects of high pressure (HP) treatment combined with enzymatic hydrolysis on the antigenicity and allergenicity of soybean 2S proteins. HP treatment alone (100–600 MPa) did not induce noticeable changes in the protein profiles or antigenicity. Enzymatic hydrolysis resulted in enzyme-dependent changes in protein degradation and antigenicity. Among the enzymes tested, alkaline protease showed the most substantial degradation of soybean 2S proteins, resulting in the residual antigenicity of < 10%. IgE-binding analysis using sera from patients with soybean allergy further demonstrated that alkaline protease treatment markedly decreased allergenicity to a level comparable to that of the negative control, whereas papain treatment only resulted in limited allergenicity reduction due to partial protein degradation. Alkaline protease treatment conditions were optimized to reduce the enzyme concentration or hydrolysis time while maintaining the low antigenicity level of soybean 2S proteins; however, the ideal conditions were not achieved yet, necessitating further investigation. These findings suggest that alkaline protease-mediated hydrolysis shows promise for hypoallergenic soybean protein production.

Keywords: Soybean 2S protein; Enzymatic hydrolysis; Antigenicity reduction; Allergenicity; Alkaline protease

서 론

식품 알레르기는 특정 식품 단백질에 대해 면역글로불린 E (IgE)가 매개하는 과민반응으로, 최근 수십 년간 전 세계적으로 유병률이 증가하고 있으며, 사회·경제적 부담이 빠르게 증가하고 있다. 국내에서도 소아 및 영유아를 중심으로 식품 알레르기 및 식품 유발 아나필락시스 사례가 지속적으로 보고되고 있으며, 이에 따라 식품 안전 및 산업적 측면에서 알레르겐 관리의 중요성이 제기되고 있다(Kim et al., 2017; Yang et al., 2024). 대두는 단백질 함량이 높고 필수아미노산 조성이 우수하여 전 세계적으로 식품, 사료 및 기능성 소재로 널리 활용되고 있으나, 동시에 대표적인 알레르기 유발 식품으로 분류된다. 일반적으로 대두 알레르기의 유병률은 약 0.2~ 0.4%로 비교적 낮지만, 3세 미만 소아에서는 식품 알레르기를 유발하는 주요 원인 중 하나로 보고되어 있다(Wiederstein et al., 2023). 국내 코호트 연구에 따르면, 식품 알레르기 증상을 보인 영아의 6.5%가 대두에 반응하는 것으로 나타났다(Kim et al., 2011). 대두 알레르기 환자들은 두부나 두유와 같이 대두가 직접 포함된 식품을 피하는 경우가 많지만, 레시틴이나 대두유 같이 대두 단백질을 포함하는 경우까지 모두 피할 수는 없는 것이 현실이다. 일반적으로 고도로 정제된 대두유에는 대두 단백질이 극미량만 포함되어 알레르기 반응을 유발하지 않는 것으로 알려져 있으나, 민감도가 매우 높은 일부 환자에서는 대두유가 사용된 의약품이나 대두유가 포함된 생활용품에 의도치 않게 노출된 후 아나필락시스 반응이 발생한 사례도 보고된 바 있다(San Miguel-Hernández et al., 2018). 이렇게 대두 유래 성분이 다양한 가공식품의 첨가제로 광범위하게 이용됨에 따라 해당 성분이 식품 내 ‘숨은 알레르겐(hidden allergen)’으로 작용할 가능성이 제기되고 있다(Gu et al., 2001; Wiederstein et al., 2023).

이러한 한계를 극복하기 위해, 알레르기 유발 가능성을 낮춘 식품을 개발하고자 하는 연구가 지속적으로 이어져 왔으며, 열처리, 발효, 효소적 가수분해, 화학적·유전적 변형, 고압 및 다양한 비가열 처리 등의 식품 가공 공정이 적용되어 왔다(Günal-Köroğlu, 2025). 이러한 공정이 대두 알레르겐의 삼차 구조와 선형 에피토프를 변화시켜 IgE 결합력을 감소시키는 효과를 보이기도 하였으나 공정 조건과 처리 강도에 따라 단백질의 부분적 변형이 새로운 에피토프를 형성함으로써, 오히려 알레르기성이 증가할 가능성도 함께 제기되었다(Panda et al., 2015).

대두 단백질은 초원심분리에 의해 2S, 7S, 11S, 15S 분획으로 나뉘며, 이 중 2S, 7S, 11S 분획이 주요 알레르겐으로 보고되었다(Shibasaki et al., 1980; Koshiyama et al., 1981). 선행 연구에 따르면, 대두 2S 분획은 일부 대두에 감작된 환자에게서 강한 IgE 결합 반응을 나타냈으며, 대두 2S 단백질 중 주요 알레르겐인 SKTI (soybean Kunitz trypsin inhibitor)는 분자량이 약 20 kDa으로, 열·산·펩신 처리에 비교적 안정하여 위장 모의 소화 후에도 알레르기성이 완전히 소실되지는 않았다(Sung et al., 2014). 또한 일부 환자에서는 오히려 IgE 반응성이 증가하여 숨은 에피토프의 노출 가능성이 제기되었으며, 이러한 결과는 위장 소화만으로는 대두 2S 단백질의 알레르기성을 효과적으로 감소시키기 어렵다는 점을 시사한다. 비록 대두 2S 단백질은 감작 빈도가 낮은 알레르겐으로 분류되지만, 대두 레시틴이나 대두유 등 정제된 대두 제품에서 검출되는 숨은 알레르겐으로 작용할 가능성이 높아 대두 2S 단백질을 표적화한 알레르기 저감화 전략의 개발이 요구된다(Wiederstein et al., 2023).

따라서 본 연구에서는 대두 2S 단백질에 초고압 처리와 효소 가수분해를 적용한 후 알레르기성 변화를 평가하고자 하였으며, 특히 서로 다른 효소를 이용한 가수분해 처리에 따른 단백질 특성 및 알레르기성 변화를 비교 분석함으로써, 대두 2S 단백질의 알레르기 저감화 가능성을 검토하고자 하였다.

재료 및 방법

혈청

본 연구에 사용된 혈청은 Sung et al. (2014)의 연구에서 확보한 대두 감작 환자 혈청 45개 중, 대두 2S 단백질을 펩신 및 키모트립신으로 연속 가수분해한 후에도 IgE 반응성을 유지하며 대두 2S 단백질에 대해 상대적으로 강한 IgE 반응성을 나타낸 3개의 혈청을 선별하여 사용하였다(Table 1). 이를 통해 본 연구에서는 대두 2S 단백질에 대해 상대적으로 강한 IgE 반응성을 나타내는 환자군을 대상으로 알레르기성 변화를 평가하고자 하였다.

Table 1. Biological characteristics of three selected sera from forty-five soybean-sensitive patients
Patient number Age (y) Sex Total IgE (kUA/L) Soybean specific IgE (kUA/L)
1 4442 2 M 15,740 101
2 3480 1 M 5,001 81.5
3 4145 2 M 5,001 101
Download Excel Table
대두 단백질 준비

대두 2S 단백질은 탈지 대두 분말을 이용하여 선행연구(Sung et al., 2014)와 동일한 방법으로 준비하였으며, 탈지대두분말과 SKTI는 Sigma-Aldrich (St. Louis, MO, USA)에서 구입하였다.

초고압 처리

초고압 처리는 Penas et al. (2006)의 방법에 따라 초고압 처리 장치(HPP; 600 MPa/5 L; Boutou KeFa High Pressure Technology Co., Ltd., China)를 이용하여 100, 300 및 600 MPa, 14±1℃의 조건에서 15분간 수행하였으며, 처리 후 시료는 즉시 회수하여 분석에 사용하거나 –20℃에서 보관하였다.

단백질 전기영동

SDS-PAGE 분석은 15% Bis-Tris gradient gel (NuPAGE, Invitrogen, Carlsbad, CA, USA)을 사용하였으며, 실험 조건은 선행연구(Sung et al., 2014)에 기술된 방법을 따랐다. SDS-PAGE 결과에서 관찰된 밴드 강도 변화는 ImageJ 소프트웨어를 이용한 densitometric 분석을 통해 평가하였다. 해당 분석은 효소 처리에 따른 밴드 강도 변화의 전반적인 경향을 객관적으로 확인하기 위한 보조적인 방법으로 활용되었다.

효소 가수분해

효소 가수분해는 효소별 가수분해 특성과 항원성 저감 가능성을 비교하기 위한 초기 스크리닝으로 수행하였다. 초기 효소 처리 조건으로는 Ambrosi et al. (2016)을 참고하여 기질 대비 10%(w/w) 효소 농도를 설정하였다. 각 효소 가수분해는 Clemente et al. (1999)의 방법을 일부 변형하여 동일한 반응 시간(60분) 동안, 해당 효소의 최적 pH 및 온도 조건에서 수행하였으며, 각 효소의 특성과 본 연구에서 적용한 가수분해 조건은 Table 2에 정리하여 제시하였다. 반응 종료 후, 효소 작용을 정지시키기 위해 95℃에서 10분간 열처리하였다.

Table 2. Characteristics of the proteases in analyses
No. Enzyme Manufacture Origin Characteristics Optimum
pH Temp.
1 Alkaline protease Genencor Bacillus licheniformis Serine-type peptidase 6.5-8.5 55-70
2 Bromelain Great food (Biochem) Pineapple stem Cysteine-type peptidase 5-8 50-60
3 Flavourzyme Novo Aspergillus oryzae Aminopeptidase 5-7 45-55
4 Papain Sigma Papaya latex Cysteine-type peptidase 5-7 55-65
5 Pepsin Sigma Porcine Gastric mucosa Aspartic protease 1.5-2.5 37-42
6 Proteinase K Sigma Tritirachium album Serine-type peptidase 7.5-9.0 55-65
Download Excel Table
항원성 및 알레르기성 평가

항원성 및 알레르기성 평가는 효소면역측정법(ELISA)을 이용하였으며, 실험 조건은 선행 연구(Sung et al., 2014)에 따라 수행하였다. 대두 2S 단백질의 주요 알레르겐으로 알려진 SKTI에 대한 항원성 변화를 평가하기 위해, 본 연구에서는 SKTI에 반응하는 항체인 anti-soybean trypsin inhibitor 항체(Abcam, Cambridge, UK)를 사용하여 효소 가수분해 및 초고압 처리에 따른 항원성 감소 여부를 스크리닝하였다. 알레르기성 평가는 선별된 환자 혈청을 이용하여 IgE 결합력을 평가하였다.

결과 및 고찰

초고압 처리에 따른 대두 2S 단백질의 변화

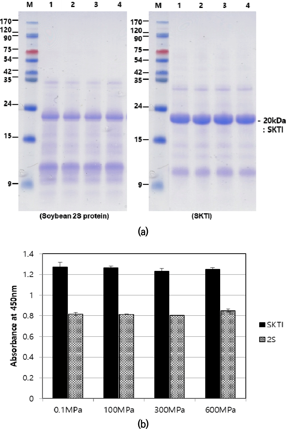
초고압 처리에 따른 대두 2S 단백질의 단백질 패턴 및 항원성 변화는 관찰되지 않았다. 초고압 처리된 대두 2S 단백질의 단백질 밴드 패턴은 미처리 대조군과 유의적인 차이를 보이지 않았으며(Fig. 1A), anti-trypsin inhibitor 항체를 이용하여 측정한 항원성도 처리군과 미처리군 간에 차이가 나타나지 않았다(Fig. 1B). 대두 2S 단백질의 주요 알레르겐인 SKTI 역시 단백질 패턴과 항원성 모두에서 유사한 결과를 나타내었다(Figs. 1A, 1B).

fep-30-0-26002-g1
Fig. 1. Effects of high pressure treatment on the structure and antigenicity of soybean 2S protein and SKTI. A: SDS-PAGE patterns after high pressure (HP) treatment. B: Antigenicity determined by ELISA. Error bars indicate standard deviations. M: molecular weight markers (kDa); lane 1, atmospheric pressure (0.1 MPa); lanes 2–4, HP-treated samples at 100, 300, and 600 MPa, respectively.
Download Original Figure

Xi & He (2017)은 200~400 MPa의 초고압 단독 처리가 대두 저장 단백질 중 하나인 β-conglycinin의 구조를 변화시켜 항원성을 유의적으로 감소시켰다고 보고하였지만 본 연구에서 단일 분획으로 분리된 대두 2S 및 SKTI 단백질에 해당 범위를 포함하는 초고압 처리를 적용한 결과, SDS-PAGE 분석 및 항원성 평가에서 뚜렷한 변화는 관찰되지 않았다. 이러한 결과는 대두 2S의 주요 알레르겐인 SKTI가 다수의 이황화 결합에 의해 조밀하게 안정화된 구조적 특성을 가지기 때문으로 판단된다. 초고압 처리가 주로 비공유결합에 작용한다는 점을 고려할 때(Braspaiboon & Laokuldilok, 2024), 본 연구에서 적용한 초고압 조건은 SKTI의 구조적 변화를 유도하지 못하였으며, 이로 인해 초고압 처리 후에도 단백질 패턴 및 항원성에 유의한 변화를 나타내지 않은 것으로 해석된다.

효소 가수분해에 따른 대두 2S 단백질의 분해 및 항원성 변화

효소 가수분해에 따른 대두 2S 단백질의 분해 양상을 SDS-PAGE로 분석한 결과, 효소의 종류에 따라 단백질 분해 정도에 뚜렷한 차이가 관찰되었다(Fig. 2). Pepsin 처리 시 20 kDa의 SKTI가 가수분해 후에도 여전히 관찰되어, 전반적인 분해 효과가 제한적인 것으로 나타났다. Papain 및 bromelain 처리에서는 20 kDa 주요 단백질 밴드의 강도는 감소하였으며, 하단부에서 밴드가 흐릿하게 퍼진 형태로 관찰되었다. 반면, Flavourzyme 처리에서는 20 kDa 밴드 강도가 대부분 그대로 유지된 것으로 보아 대두 2S 단백질에 대한 분해 효과가 매우 제한적인 것으로 나타났다. Proteinase K 처리에서도 일부 단백질 분해가 확인되었으나 하단에 약한 밴드가 남아있었으며, 전반적인 분해 수준은 papain 및 bromelain 처리와 유사한 수준이었다. 이에 비해 alkaline protease 처리에서는 대두 2S 단백질 밴드 대부분이 완전히 소실되어, 본 연구에서 사용된 효소 중 가장 강한 단백질 분해 효과를 나타내었다.

fep-30-0-26002-g2
Fig. 2. SDS-PAGE patterns of soybean 2S proteins after enzymatic hydrolysis with or without high-pressure treatment. Panels A–F: pepsin (A), papain (B), bromelain (C), flavourzyme (D), proteinase K (E), and alkaline protease (F). M: molecular weight marker (kDa). Lanes 1–2: 0.1 MPa; lanes 3–4: 100 MPa; lanes 5–6: 300 MPa; lanes 7–8: 600 MPa. Lanes 1, 3, 5, and 7: before hydrolysis. Lanes 2, 4, 6, and 8: after 60 min of enzymatic hydrolysis. Lane 9: enzyme only.
Download Original Figure

효소 가수분해에 따른 대두 2S 단백질의 항원성을 평가한 결과, 항원성 변화는 SDS-PAGE에서 관찰된 단백질 분해 양상과 일치하지 않았다(Fig. 3). 효소별 항원성 변화 정도는 ELISA 분석에서 측정된 흡광도 값을 미처리군 대비 비율로 환산하여 비교하였다. Pepsin 처리의 경우 단백질 분해가 제한적으로 나타난 것과 유사하게 항원성 역시 일부 감소하는 경향을 보였으나, 가수분해 후에도 미처리군 대비 항원성이 제한적으로 감소하였다. 흡광도값을 비교하였을 때, 처리군의 항원성은 미처리군 대비 54~59% 수준이었다. 이는 pepsin 가수분해만으로는 대두 2S 단백질의 항원 결정기를 충분히 제거하기 어렵다는 것을 시사한다. Papain 및 bromelain 처리에서는 SDS-PAGE에서 주요 단백질 밴드의 감소가 확인되었음에도 불구하고, 항원성 저감 효과는 제한적인 수준에 그쳤다. Papain 처리군은 미처리군 대비 여전히 80~90%의 항원성을 가지고 있었으며, bromelain 처리군도 74~88%의 항원성이 잔류하였다. Bromelain 가수분해에 의한 알레르기성 감소 효과는 선행 연구에서 상반된 결과로 나타나고 있는데, Lamsal et al. (2007)은 bromelain이 대두 주요 단백질 분획을 효과적으로 분해할 수 있음을 보고하였으나, Panda et al. (2015)은 대두 단백질을 bromelain으로 가수분해 시 알레르기 유발성이 오히려 증가하였다고 보고하였다. Flavourzyme 처리에서는 SDS-PAGE에서 단백질 분해가 거의 관찰되지 않은 것과 유사하게 항원성 저감 효과도 나타나지 않고, 오히려 항원성이 증가하는 경향이 관찰되었다. Proteinase K 처리에서는 단백질 분해가 부분적으로 확인되었음에도 불구하고 Flavourzyme과 유사하게 항원성이 증가하였다. 즉, SDS-PAGE 상에서 관찰된 단백질 분해가 항상 항원성 감소로 이어지는 것은 아니며, 이는 항체가 인식하는 epitope의 잔존 여부에 따라 항원성이 유지될 수 있기 때문이다. 또한 효소 가수분해 과정에서의 단백질 구조 변화로 인해 기존에 노출되지 않았던 항원 결정기가 드러나거나 새롭게 형성될 수 있다는 점은 병아리콩(Clemente et al., 1999) 및 땅콩 단백질(Cabannillas et al., 2010)을 대상으로 한 선행 연구 결과와도 일치한다.

fep-30-0-26002-g3
Fig. 3. Antigenicity of soybean 2S proteins after enzymatic hydrolysis with or without high-pressure treatment. Panels A–F: pepsin (A), papain (B), bromelain (C), flavourzyme (D), proteinase K (E), and alkaline protease (F). Samples were untreated (0.1 MPa) or treated at 100, 300, and 600 MPa. Bars represent absorbance at 450 nm measured before enzymatic hydrolysis (T0) and after 60 min of hydrolysis (T60). Data are expressed as mean±standard deviation.
Download Original Figure

반면, alkaline protease 처리에서는 SDS-PAGE에서 관찰된 광범위한 단백질 분해와 함께 항원성이 뚜렷하게 감소하였다. 가수분해물의 잔존 항원성은 미처리군 대비 7.8~9.5% 수준이었으며, 본 연구에서 사용된 효소 중 가장 강력하고 일관된 항원성 저감 효과가 나타난 것을 확인할 수 있었다. 이는 단백질의 부분적인 절단이 아닌 구조 전반의 붕괴가 항원성 저감에 보다 효과적일 수 있음을 시사한다. Alkaline protease는 다양한 펩타이드 결합을 비특이적으로 절단하는 특성이 있는 것으로 알려져 있으며(Gupta et al., 2002), 이러한 효소적 특성이 대두 2S 단백질의 항원 결정기 구조를 효과적으로 파괴하는데 기여했을 가능성이 있다. 유사하게 식물성 단백질을 대상으로 한 선행 연구에서도 alkaline protease 계열 효소가 다른 protease에 비해 더 효과적인 가수분해 특성을 나타낸다는 보고가 있다(Humiski &d Aluko, 2007). 한편, 데이터를 제시하지는 않았지만 대두 2S 단백질의 주요 알레르겐인 SKTI에 대해서도 동일한 효소 가수분해 및 항원성 분석을 수행한 결과, 전반적인 단백질 분해 양상과 항원성 변화 경향은 2S 분획 전체와 유사하게 pepsin, papain, bromelain, Flavourzyme 및 proteinase K 처리에서는 항원성 저감 효과가 제한적이었으나 alkaline protease 처리에서는 항원성 감소가 뚜렷하게 관찰되었다.

종합해 보면, 본 연구 결과는 효소 가수분해에 따른 항원성 저감 효과가 단순한 단백질 분해 여부보다는 효소의 작용 특성과 단백질 구조에 대한 분해 범위에 의해 좌우됨을 보여준다. 특히 alkaline protease 처리에서는 단백질 분해와 항원성 변화가 일관된 경향을 나타내어, 실제 알레르기성 저감 효과에 대한 추가 검토가 필요함을 시사한다.

효소 가수분해에 따른 대두 2S 단백질의 알레르기성 변화

효소 가수분해에 따른 대두 2S 단백질의 알레르기성 변화는 환자 혈청을 이용한 ELISA 분석을 통해 평가하였다(Fig. 4). 선행연구에 따르면, 고압 처리에 따른 단백질 구조 변화는 일반적으로 400~600 MPa 범위에서 가장 뚜렷하게 나타나며, 알레르기성 평가에서는 최대 압력 조건을 대표적으로 적용하는 것이 일반적이다(Peñas et al., 2006). 이에 본 연구에서는 초고압 처리 효과를 보수적으로 평가하기 위해 600 MPa 조건을 IgE 결합 분석의 대표 조건으로 선정하였다. IgE 결합력은 가수분해 전 시료(T0)를 기준으로 잔존 알레르기성 비율(%)로 산출하였다. Alkaline protease 처리 후 잔존 알레르기성은 초고압 처리 없이 가수분해한 시료에서 10.6%, 600 MPa 처리 후 가수분해한 시료에서 7.2%로 나타나, 초고압 처리 여부에 따른 알레르기성 저감효과의 유의미한 차이는 관찰되지 않았으나 alkaline protease 처리는 대두 2S 단백질의 IgE 결합력을 효과적으로 감소시켰다. 반면, papain 처리군에서는 IgE 결합력의 감소가 제한적으로 나타났으며 가수분해 후 잔존 IgE 결합력은 초고압 미처리 시 75%, 600 MPa 처리 시 78% 수준으로 나타나 가수분해 전 시료 대비 알레르기성 저감 효과가 미미하였다. 또한 초고압 처리 유무에 따른 IgE 결합력의 차이가 관찰되지 않았으며, 이러한 결과는 SDS-PAGE에서 확인된 부분적 단백질 분해가 실제 알레르기 반응을 매개하는 IgE 결합 부위 제거로 이어지지 않았음을 시사한다. Papain은 식물성 단백질 가수분해 및 알레르기성 저감을 목적으로 다양한 선행 연구에서 사용되어 왔으며 Panda et al. (2015)은 대두 단백질을 papain으로 가수분해했을 때 특정 혈청에서 IgE 반응성이 현저히 감소하였음을 보고하였다. 이러한 배경을 고려하여 본 연구에서는 alkaline protease 처리 효과를 비교·검증하기 위한 대조 효소로 papain을 선정하였다. 그러나 본 연구에서 대두 2S 단백질을 대상으로 한 실험에서는 papain 처리에 따른 IgE 결합력 감소가 제한적으로 나타나, 효소 가수분해의 알레르기성 저감 효과가 단백질 종류와 효소 특성에 따라 크게 달라질 수 있음을 보여준다.

fep-30-0-26002-g4
Fig. 4. Effect of enzymatic hydrolysis following high-pressure treatment on IgE-binding reactivity of soybean 2S proteins. Panels A and B: alkaline protease-hydrolyzed soybean 2S proteins under high hydrostatic pressure at 0.1 MPa (A) and 600 MPa (B). Samples were collected before (0 min) and after 60 min of enzymatic hydrolysis. IgE-binding reactivity was evaluated by ELISA using sera from soybean-allergic patients (patient) and non-allergic control sera (negative). Bars represent absorbance at 595 nm. Data are expressed as mean±standard deviation.
Download Original Figure

Alkaline protease는 subtilisin 계열의 세린 프로테아제로 다양한 펩타이드 결합을 비특이적으로 절단하여 단백질 구조 전반을 광범위하게 분해하는 특성을 가진다(Gupta et al., 2002). 이러한 효소적 특성은 대두 2S 단백질의 IgE 결합에 관여하는 항원 결정기 구조를 효과적으로 파괴하는데 기여했을 가능성이 있다. 실제로 Bacillus subtilis 또는 Bacillus licheniformis 유래 subtilisin 계열 효소가 밀, 우유 및 대두 알레르겐의 IgE 결합력을 효과적으로 감소시킨 사례가 보고된 바 있으며(Frias et al., 2007; Phromraksa et al., 2008; 2009), 본 연구 결과는 이러한 선행 연구들과 일관된 경향을 보인다. 이는 알레르기성 저감에 있어서 단순한 단백질 분해 여부보다 효소의 작용 특성과 분해 범위가 더 중요한 요소임을 시사한다.

대두 2S 단백질의 알레르기성 저감을 위한 효소가수분해 조건 최적화

Alkaline protease를 이용한 대두 2S 단백질의 알레르기성 저감을 위해 효소 농도 및 가수분해 시간에 따른 효과를 단계적으로 평가하였다. Alkaline protease를 1%, 0.1% 및 0.01% 농도로 처리하였을 때 대두 2S 단백질의 주요 밴드가 대부분 소실되었으나, 0.001% 및 0.0001% 농도에서는 단백질 분해가 거의 관찰되지 않았다(Fig. 5A). 이는 alkaline protease에 의한 효과적인 단백질 분해를 위해 일정 수준 이상의 효소 농도가 필요함을 보여준다. 단백질 분해가 확인된 조건에서 항원성 변화를 평가한 결과, alkaline protease를 1%, 0.1% 및 0.01%로 처리하였을 때 대두 2S 단백질의 항원성은 비가수분해 대조군 대비 각각 9.3%, 23.6%, 71.7% 수준으로 감소하였다(Fig. 5B). 전반적인 경향을 확인하기 위한 보조 자료로 SKTI에 대하여 동일한 실험을 수행하였다. 동일 농도 조건에서 항원성이 각각 미처리군 대비 8.1%, 13.5%, 60.2% 수준으로 감소하여 대두 2S 단백질 처리결과의 경향과 일치하였다. 이 결과는 SDS-PAGE에서 유사한 분해 양상을 보이더라도 항원성 저감 효과는 효소 농도에 따라 뚜렷한 차이를 나타낼 수 있음을 시사한다.

fep-30-0-26002-g5
Fig. 5. Effect of alkaline protease concentration on protein degradation and antigenicity of soybean 2S proteins. A: SDS-PAGE patterns of soybean 2S proteins following enzymatic hydrolysis. M: molecular weight marker (kDa). Lane pairs 1–2, 3–4, 5–6, 7–8, and 9–10: samples treated with alkaline protease at concentrations of 1%, 0.1%, 0.01%, 0.001%, and 0.0001%, respectively. Lanes 1, 3, 5, 7, and 9: samples before enzymatic hydrolysis (T0). Lanes 2, 4, 6, 8, and 10: samples after 60 min of enzymatic hydrolysis (T60). B: Antigenicity of soybean 2S proteins measured by ELISA before (T0) and after 60 min (T60) of enzymatic hydrolysis at different alkaline protease concentrations.
Download Original Figure

항원성 감소 효과가 뚜렷하게 나타난 1% 및 0.1% 처리 조건에 대해 혼합 혈청을 이용하여 IgE 결합력을 추가로 평가하였다(Fig. 6). 그 결과, alkaline protease를 1% 및 0.1%로 처리한 경우 잔존 알레르기성은 각각 30.4%, 51.3% 수준으로 감소하였다. 효소 10% 처리 시, 음성대조군 수준까지 알레르기성을 감소시켰던 것과 비교할 때, 대두 2S 단백질의 알레르기성을 완전히 저감하기 위해서는 10% 수준의 효소 처리가 요구될 것으로 판단된다. 이는 실제 알레르기성 감소를 위해서는 항원성 저감보다 더 높은 수준의 단백질 구조 파괴가 필요함을 의미한다. 가수분해 시간에 따른 효율성을 평가하기 위해 10% 농도의 alkaline protease로 처리한 시료를 분석한 결과, 10분간의 짧은 가수분해 시간만으로도 대두 2S 단백질의 주요 밴드가 SDS-PAGE에서 완전히 소실되었으며 항원성도 현저하게 감소하여 미처리군 대비 11% 수준을 보였다(Fig. 7). SKTI 역시 동일한 처리 조건에서 유사한 분해 및 항원성 감소 경향을 나타내어 alkaline protease를 비교적 높은 농도로 단시간 처리하는 방식이 효율적인 알레르기 저감 전략이 될 수 있음을 시사한다. 추가적으로 alkaline protease의 효과를 대두 단백질 전체에 적용한 결과, 10% 농도 처리 후 SDS-PAGE에서 모든 대두 단백질 밴드가 소실되었으며, 항원성은 8.3% 수준으로 감소하였다(Fig. 8). 이는 본 연구에서 제시한 alkaline protease 처리 조건이 단일 분획인 대두 2S 단백질뿐만 아니라, 대두 단백질 전체를 대상으로 한 알레르기성 저감 식품 소재 개발에도 적용 가능함을 시사한다.

fep-30-0-26002-g6
Fig. 6. Effect of alkaline protease concentration on IgE-binding reactivity of soybean 2S proteins. Panels A and B: soybean 2S proteins hydrolyzed with alkaline protease at concentrations of 1% (A) and 0.1% (B). Samples were collected before (T0) and after 60 min of enzymatic hydrolysis (T60). IgE-binding reactivity was evaluated by ELISA using sera from soybean-allergic patients (Patient) and non-allergic control sera (Negative). Bars represent absorbance at 595 nm. Data are expressed as mean±standard deviation.
Download Original Figure
fep-30-0-26002-g7
Fig. 7. SDS-PAGE pattern and antigenicity of soybean 2S protein after hydrolysis with alkaline protease. Absorbance was measured using ELISA. Hydrolysis for 0, 10, 30, 60, 90, 120 min, and overnight. Error bars indicate standard deviations.
Download Original Figure
fep-30-0-26002-g8
Fig. 8. Application of optimized alkaline protease hydrolysis to whole soybean proteins. A: SDS-PAGE patterns of whole soybean proteins; lane 1, untreated whole soybean protein; lane 2, after 60 min of enzymatic hydrolysis. M, molecular weight marker. B: Antigenicity evaluated by ELISA before (T0) and after 60 min (T60) of hydrolysis (absorbance at 450 nm).
Download Original Figure

요 약

본 연구에서는 대두 2S 단백질을 대상으로 초고압 처리와 다양한 효소 가수분해를 적용하여 항원성 및 알레르기성 변화를 비교·분석하였다. 초고압 처리는 대두 2S 단백질과 주요 알레르겐인 SKTI의 단백질 구조 및 항원성에 뚜렷한 변화를 유도하지 못하였으며, 효소 가수분해와 병용 시에도 시너지 효과가 나타나지는 않았다. 다양한 효소를 이용한 가수분해 실험에서 alkaline protease는 SDS-PAGE에서 대두 2S 단백질을 가장 효과적으로 분해하였으며, 항원성도 10% 이하 수준으로 현저히 감소시켰다. 반면, papain, bromelain, pepsin, Flavourzyme 및 proteinase K 처리에서는 단백질 분해가 관찰되었음에도 불구하고 항원성 및 알레르기성 저감 효과는 제한적이었다. 이는 단백질 분해 정도와 항원성 또는 알레르기성 변화가 반드시 일치하지 않음을 보여주는 결과이다.

항원성 감소 효과가 있어 저알레르기성 식품 소재 개발 가능성이 보이는 효소에 대해 환자 혈청을 이용한 IgE 결합 분석 결과, alkaline protease 처리군은 대두 2S 단백질의 알레르기성이 음성 대조군 수준까지 감소한 반면, papain 처리군은 75% 이상 알레르기성이 유지되어 alkaline protease의 뚜렷한 알레르기성 감소효과를 확인할 수 있었다. 또한 alkaline protease의 효소 농도 및 가수분해 시간에 따른 최적 조건을 평가하였다. 항원성 감소를 위해서는 효소처리농도를 0.1~1% 수준으로 줄여도 충분한 저감효과를 얻을 수 있었지만, 대두 2S 단백질의 알레르기성을 완전히 감소시키기 위해서는 10% 수준의 고농도 효소 처리가 요구된다. 적절한 가수분해 시간을 확인한 결과, 10% 수준의 고농도 효소처리의 경우 10분 정도의 짧은 시간만 처리하여도 충분한 항원성 감소효과를 확인할 수 있었다. 이는 alkaline protease를 비교적 높은 농도로 단시간 처리하는 방식이 효율적인 알레르기 저감 전략이 될 수 있음을 시사한다. 종합적으로, 본 연구는 대두 2S 단백질의 알레르기 저감을 위해 단순한 단백질 분해보다는 효소의 작용 특성과 분해 범위가 중요함을 제시하며, alkaline protease 처리가 대두 유래 저알레르기성 식품 소재 개발을 위한 유망한 전략이 될 수 있는 가능성을 시사한다.

Conflict of interests

No potential conflict of interest relevant to this article was reported.

Acknowledgements

This research was supported by 2023 Dongyang Mirae University Academic Research Grant.

Data availability

Upon reasonable request, the datasets of this study can be available from the corresponding author.

Authorship contribution statement

Conceptualization: Sung DE, Lim SY.

Data curation: Sung DE, Lim SY.

Formal analysis: Sung DE, Lim SY.

Methodology: Sung DE.

Validation: Sung DE, Lim SY.

Investigation: Sung DE.

Writing - original draft: Sung DE.

Writing - review & editing: Sung DE, Lim SY.

Ethics approval

Not applicable.

References

1.

Ambrosi V, Polenta G, Gonzalez C, Ferrari G, Maresca P. 2016. High hydrostatic pressure assisted enzymatic hydrolysis of whey proteins. Innov. Food Sci. Emerg. Technol. 38: 294-301.

2.

Braspaiboon S, Laokuldilok T. 2024. High hydrostatic pressure: influences on allergenicity, bioactivities, and structural and functional properties of proteins from diverse food sources. Foods 13: 922.

3.

Cabanillas B, Pedrosa MM, Rodriguez J, Gonzalez A, Muzquiz M, Cuadrado C, Crespo JF, Burbano C. 2010. Effects of enzymatic hydrolysis on lentil allergenicity. Mol. Nutr. Food Res. 54: 1266-1272.

4.

Clemente A, Vioque J, Sanchez-Vioque R, Pedroche J, Millán F. 1999. Production of extensive chickpea (Cicer arietinum L.) protein hydrolysates with reduced antigenic activity. J. Agric. Food Chem. 47: 3776-3781.

5.

Frias J, Song YS, Martínez-Villaluenga C, De Mejia EG, Vidal-Valverde C. 2007. Immunoreactivity and amino acid content of fermented soybean products. J. Agric. Food Chem. 56: 99-105.

6.

Gu X, Beardslee T, Zeece M, Sarath G, Markwell J. 2001. Identification of IgE-binding proteins in soy lecithin. Int. Arch. Allergy Immunol. 126: 218-225.

7.

Günal-Köroğlu D, Karabulut G, Ozkan G, Yılmaz H, Gültekin-Subaşı B, Capanoglu E. 2025. Allergenicity of alternative proteins: reduction mechanisms and processing strategies. J. Agric. Food Chem. 73: 7522-7546.

8.

Gupta R, Beg Q, Lorenz P. 2002. Bacterial alkaline proteases: molecular approaches and industrial applications. Appl. Microbiol. Biotechnol. 59: 15-32.

9.

Humiski L, Aluko R. 2007. Physicochemical and bitterness properties of enzymatic pea protein hydrolysates. J. Food Sci. 72: S605-S611.

10.

Kim J, Chang E, Han Y, Ahn K, Lee SI. 2011. The incidence and risk factors of immediate-type food allergy during the first year of life in Korean infants: a birth cohort study. Pediatr. Allergy Immunol. 22: 715-719.

11.

Kim MY, Jang GY, Oh NS, Baek SY, Lee SH, Kim KM, Kim TM, Lee J, Jeong HS. 2017. Characteristics and in vitro anti-inflammatory activities of protein extracts from pre-germinated black soybean [Glycine max (L.)] treated with high hydrostatic pressure. Innov. Food Sci. Emerg. Technol. 43: 84-91.

12.

Koshiyama I, Kikuchi M, Harada K, Fukushima D. 1981. 2S globulins of soybean seeds. I. Isolation and characterization of protein components. J. Agric. Food Chem. 29: 336-340.

13.

Lamsal BP, Jung S, Johnson LA. 2007. Rheological properties of soy protein hydrolysates obtained from limited enzymatic hydrolysis. LWT-Food Sci. Technol. 40: 1215-1223.

14.

Panda R, Tettech A, Pramod SN, Goodman R. 2015. Enzymatic hydrolysis does not reduce the biological reactivity of soybean proteins for all allergic subjects. J. Agric. Food Chem. 63: 9629-9639.

15.

Peñas E, Restani P, Ballabio C, Préstamo G, Fiocchi A, Gomez R. 2006. Evaluation of the residual antigenicity of dairy whey hydrolysates obtained by combination of enzymatic hydrolysis and high-pressure treatment. J. Food Prot. 69: 1707-1712.

16.

Phromraksa P, Nagano H, Boonmars T, Kamboonruang C. 2008. Identification of proteolytic bacteria from Thai traditional fermented foods and their allergenicity-reducing potentials. J. Food Sci. 73: M189-M195.

17.

Phromraksa P, Nagano H, Kanamaru Y, Izumi H, Yamada C, Khamboonruang C. 2009. Characterization of Bacillus subtilis isolated from Asian fermented foods. Food Sci. Technol. Res. 15: 659-666.

18.

San Miguel-Hernández A, San Miguel-Rodríguez A, Martín-Armentia B, Martín-Armentia S, Armentia-Medina A, Lozano-Estevan C, Iglesias-Peinado I. 2018. Implications of allergic reactions to soybean oil. J. Allergy Disord. Ther. 4: 100008.

19.

Shibasaki M, Suzuki S, Tajima S, Nemoto H, Kuroume T. 1980. Allergenicity of major component proteins of soybean. Int. Arch. Allergy Appl. Immunol. 61: 441-448.

20.

Sung D, Ahn KM, Lim SY, Oh S. 2014. Allergenicity of an enzymatic hydrolysate of soybean 2S protein. J. Sci. Food Agric. 94: 2482-2487.

21.

Wiederstein M, Baumgartner S, Lauter K. 2023. Soybean (Glycine max) allergens: a review on an outstanding plant food with allergenic potential. ACS Food Sci. Technol. 3: 249-264.

22.

Xi J, He M. 2017. High hydrostatic pressure (HHP) effects on antigenicity and structural properties of soybean β-conglycinin. J. Food Sci. Technol. 55: 630-637.

23.

Yang J, Zhou S, Chen Y, Song J, Jin J, Gao R. 2024. Effects of enzymolysis on allergenicity and digestibility of food allergens. Food Sci. Anim. Prod. 2: 9240082.